Registracija
Ako imaš Voyo pretplatu, registriraj se istim e-mailom i čitaj net.hr bez oglasa! Saznaj više
Toggle password visibility
Toggle password visibility
Već imaš račun?
Obnovi lozinku
Svaštara /

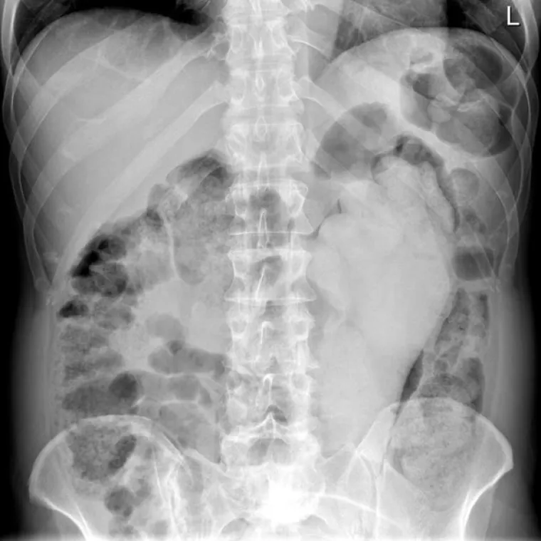
Doktori podijelili povjerljive slike pacijenata koji su u sebe ugurali sve i svašta

Gumena šaka
Foto:
Gumena šaka
13 /15
403 Forbidden

403 Forbidden


nginx
403 Forbidden

403 Forbidden


nginx
Pogledaj još galerija
403 Forbidden

403 Forbidden


nginx