Registracija
Ako imaš Voyo pretplatu, registriraj se istim e-mailom i čitaj net.hr bez oglasa! Saznaj više
Toggle password visibility
Toggle password visibility
Već imaš račun?
Obnovi lozinku
NE, NISU SAMO SLATKIŠI /

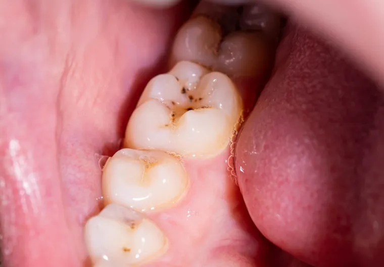
Stomatolog otkrio kojih pet namirnica nikad ne bi jeo: Uzrokuju propadanje zuba, karijes i žutilo

"Uz činjenicu da žvakanje karamele znači da se lijepe za zube dulje od većine namirnica, što znači da je vjerojatnije da će uzrokovati karijes, ali njihova ljepljiva tekstura također može predstavljati velike probleme za ljude koji imaju plombe, krunice ili proteze jer bi mogli izbaciti ili čak izvući bilo što od toga," rekao je.
Foto: Shutterstock
"Uz činjenicu da žvakanje karamele znači da se lijepe za zube dulje od većine namirnica, što znači da je vjerojatnije da će uzrokovati karijes, ali njihova ljepljiva tekstura također može predstavljati velike probleme za ljude koji imaju plombe, krunice ili proteze jer bi mogli izbaciti ili čak izvući bilo što od toga," rekao je.
9 /11
403 Forbidden

403 Forbidden


nginx

Stomatolozi uvijek savjetuju da ne jedemo previše slatkiša kako bismo spasili zube, ali postoji i neka druga hrana koju treba izbjegavati ako želite savršene zube.

403 Forbidden

403 Forbidden


nginx
Pogledaj još galerija
403 Forbidden

403 Forbidden


nginx