" /> " /> " />
Registracija
Ako imaš Voyo pretplatu, registriraj se istim e-mailom i čitaj net.hr bez oglasa! Saznaj više
Toggle password visibility
Toggle password visibility
Već imaš račun?
Obnovi lozinku
Nevjerojatno /

Znanstvenici su otkrili da se u ljudskom mozgu nakon smrti razvijaju 'zombi stanice'

"Većina studija pretpostavlja da sve aktivnosti u mozgu prestaju kada srce prestane kucati, ali to nije tako", rekao je Loeb.

403 Forbidden

403 Forbidden


nginx
403 Forbidden

403 Forbidden


nginx

S obzirom na to da u ljudskom mozgu nakon smrti prestaje cirkulacija krvi i kisika, mnogu smatraju da u njemu nema više živih stanica. Međutim, izgleda kako u ljudskom mozgu nakon smrti haraju "zombi stanice", stoji u istraživanju Selective time-dependent changes in activity and cell-specific gene expression in human postmortem brain koje je objavljeno u časopisu Scientific Reports.

Znanstvenici su primijetili kako u mozgu postoje stanice koje nakon smrti povećavaju svoju aktivnost. Tim zombijima nakon smrti jača ekspresija gena i oni nastavljaju s izvršavanjem svojih vitalnih zadataka, piše Science Alert.

Neurolog Jeffrey Loeb sa Sveučilišta Illinois i njegovi kolege uočili su da ove stanice još satima nakon smrti tvrdoglavo stvaraju nove niti i obavljaju razne poslove.

"Većina studija pretpostavlja da sve aktivnosti u mozgu prestaju kada srce prestane kucati, ali to nije tako", rekao je Loeb.

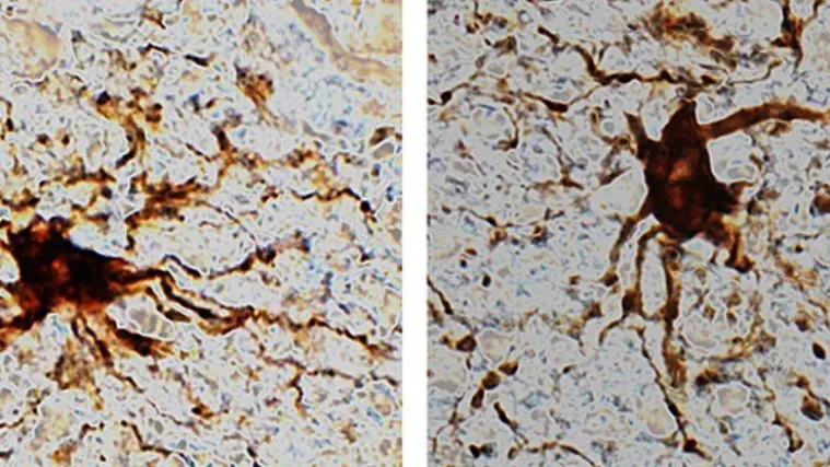
Glija-stanice su, uz neurone, druga glavna vrsta stanica u živčanom sustavu

Mnogo informacija koje imamo o moždanim poremećajima poput autizma, Alzheimerove bolesti i shizofrenije potječe iz eksperimenata izvedenih na moždanim tkivima nakon smrti, a takva tkiva se obično analiziraju 12 sati nakon smrti. 

Nakon usporedbe ekspresije gena u svježim moždanim tkivima s gore spomenutim uzorcima mozga preminulih ljudi, Loeb i tim otkrili su razlike koje nisu bile specifične za dob ni bolest.

Iako je većina aktivnosti staničnih gena bila stabilna tijekom 24-satnog perioda nakon smrti, aktivnost velikog dijela stanica živčanog sustava je brzo propadala, osim glija, kod kojih je zabilježeno povećanje ekspresije gena.

Glija-stanice su, uz neurone, druga glavna vrsta stanica u živčanom sustavu. Mnogo su brojnije od neurona te čine oko 50% ukupnog volumena moždanog tkiva.

Iako njihov "život nakon života" zvuči neobično, to zapravo ima dosta smisla s obzirom na to da glija-stanice poput mikroglija i astrocita koji jedu otpad kreću u akciju kada stvari krenu po zlu. A smrt je najgori mogući scenarij za naše tijelo.

"Ne iznenađuje previše da su glija-stanice aktivnije nakon smrti s obzirom na to da sudjeluju u upalnim reakcijama živčanoga tkiva. Njihov posao je da nakon ozljede mozga srede probleme poput nedostatka kisika ili moždanog udara", rekao je Loeb.

Nakon 24 sata "zombi stanice" umiru 

Stručnjaci su ustanovili da i ove zombi-stanice nakon 24 sata umiru te ih je nakon tog perioda teško razlikovati od okolnog propadajućeg tkiva.

"Pozitivna stvar našeg otkrića je da sada znamo koji su geni i tipovi stanica nakon smrti stabilni, koji se brzo raspadaju, a koji se s vremenom povećavaju. Tako možemo bolje razumjeti rezultate post mortem analize mozga", kazao je Loeb.

403 Forbidden

403 Forbidden


nginx
Još iz rubrike
Pročitaj i ovo
403 Forbidden

403 Forbidden


nginx
403 Forbidden

403 Forbidden


nginx
Regionalni portali
403 Forbidden

403 Forbidden


nginx
Još iz rubrike