Registracija
Ako imaš Voyo pretplatu, registriraj se istim e-mailom i čitaj net.hr bez oglasa! Saznaj više
Toggle password visibility
Toggle password visibility
Već imaš račun?
Obnovi lozinku
NAKON 40 GODINA OTIŠLA LIJEČNIKU: /

Žalila se na bol u zglobovima, a liječnike je zapanjilo ono što su vidjeli na rendgenu

Iako nije izravno pogoršalo stanje, oslanjanje na tradicionalnu medicinu ipak je skupo koštalo ženu

403 Forbidden

403 Forbidden


nginx
403 Forbidden

403 Forbidden


nginx

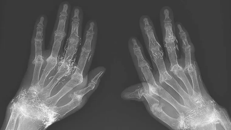
Nakon što je već 40 godina trpjela bolove u rukama 58-godišnja žena iz Južne Koreje konačno je otišla u kliniku za reumatologiju. Osim kroničnog bola u zglobovima šake, prsti su joj bili potpuno izobličeni. Nakon razgovora s liječnicima priznala je kako je još kao tinejdžerica počela koristiti tradicionalnu medicinu koja je trebala olakšati bol, no pravi šok liječnicima uslijedio je nakon što su rendgenom snimili šake, prenosi Unilad.

Na snimci se jasno vidi niz zlatnih iglica koje su umetnute u sve zglobove.

U pitanju je oblik akupunkture u kojoj se akupunkturnom iglom u tijelo trajno postavljaju sterilne zlatne iglice.

"U istočnoj Aziji ali i globalno, akupunktura, uključujući i akupunktura zlatnim iverima, dugo se koristi kako bi se tretirala bol u zglobovima. Ponekad se koriste i otopine zlata, bilo oralnim putem bilo ubrizgavanjem", ističu u izvještaju reumatolozi Dr Young-Bin Joo i Dr Kyung-Su Park.

Nakon detalje analize slučaja, liječnici su zaključili kako zlatne iglice ipak nisu izravno pogoršale stanje, no oslanjanje na tradicionalnu medicinu ipak je skupo koštalo ženu osobito zato što su se prvi simptomi javili u prilično mladoj dobi.

"Da je u ranim fazama dobila prikladnu liječničku pomoć i tretman, praćen antireumatskim lijekovima umjesto akupunkuture, vjerojatno bi izbjegla deformacije prstiju koje je izazvao reumatidni artritis", zaključuju liječnici.

403 Forbidden

403 Forbidden


nginx
Još iz rubrike
Pročitaj i ovo
403 Forbidden

403 Forbidden


nginx
403 Forbidden

403 Forbidden


nginx
Regionalni portali
403 Forbidden

403 Forbidden


nginx
Još iz rubrike