Zdravlje / Strah od zika virusa obilježio je 2016. godinu: Više od polovice Brazilki ne želi zatrudnjeti od straha
ZIKA VIRUS VIŠE NIJE MEĐUNARODNA PRIJETNJA: / 'Ne smanjujemo važnost virusa on će i dalje ostati prisutan'
1,5 milijuna zaraženih / Prvi zabilježeni slučaj: Amerikanac se zarazio zikom iz suza i znoja svoga oca
PRVI SLUČAJ ZIKE U HRVATSKOJ: / Hrvatica nakon posjeta Brazilu dobila osip, temperaturu, bol u zglobovima...
Nova rješenja / Svjetska zdravstvena organizacija predlaže kukce, gene i radijaciju u borbi protiv Zika virusa
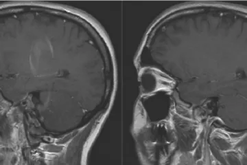
PROBOJ U ISTRAŽIVANJU: / Slovenski znanstvenici otkrili da zika isključivo napada živčane stanice mozga
BORZAN O ZIKA VIRUSU: / "Faktor rizika u Europi su tigrasti komarci s kojima je Osijek imao problema"
INFEKCIJA NAJOPASNIJA ZA TRUDNICE / Opasni Zika virus, osim neuroloških, uzrokuje kod beba i oštećenja vida i sluha!