Registracija
Ako imaš Voyo pretplatu, registriraj se istim e-mailom i čitaj net.hr bez oglasa! Saznaj više
Toggle password visibility
Toggle password visibility
Već imaš račun?
Obnovi lozinku
ZABRINJAVAJUĆE OTKRIĆE ZNANSTVENIKA: /

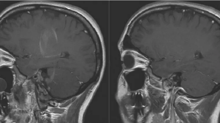
Zika razara i mozak odraslih osoba

Istraživanja su pokazala da zika virus ima razarajući učinak i na neke tipove stanica mozga odraslih osoba, a ne samo na mozak fetusa, objavljeno je u četvrtak u SAD-u.

403 Forbidden

403 Forbidden


nginx
403 Forbidden

403 Forbidden


nginx

Prema istraživanju objavljenom u časopisu Cell Stem Cell, taj virus može uništiti stanice odraslih koje se koriste za učenje i pamćenje.

"Pokazalo se da zika može ući u mozak odraslih osoba i razoriti ga", rekla je jedna od suautorica Sujan Shresta, profesorica na La Jolla Institute of Allergy and Immunology.

Dok je učinak virusa zika na fetus dokazan, posebice opasnost da izazove mikrocefaliju, to nije slučaj s odraslima.

Stanice u dva dijela mozga pokazale su se posebno osjetljivima na virus, među kojima u hipokampusu.

Znanstvenici su također naglasili da se dugoročni učinci na mozak teško mogu predvidjeti.

403 Forbidden

403 Forbidden


nginx
Još iz rubrike
Pročitaj i ovo
403 Forbidden

403 Forbidden


nginx
403 Forbidden

403 Forbidden


nginx
Regionalni portali
403 Forbidden

403 Forbidden


nginx
Još iz rubrike