Registracija
Ako imaš Voyo pretplatu, registriraj se istim e-mailom i čitaj net.hr bez oglasa! Saznaj više
Toggle password visibility
Toggle password visibility
Već imaš račun?
Obnovi lozinku
KOJE ZUBALO JE ZDRAVIJE? /

Stomatologinja okrila kako otkriti jesu li vam zubi zdravi bez odlaska zubaru

Zubari uopće ne gledaju u vaše zube da bi procijenili u kakvu su oni stanju, već više pažnje usmjere na zubno meso

403 Forbidden

403 Forbidden


nginx
403 Forbidden

403 Forbidden


nginx

Ako zube pošteno operete i dotjerate tek prije posjeta zubaru, naivni ste ako mislite da on neće skužiti kako inače ne držite do oralne higijene. Čak ne mora ni detaljno analizirati vaše zubalo, dovoljan je jedan brzinski pogled u vaša usta.

Stomatologinja Boitumelo Koopedi otkrila je jednostavan test koji vam može reći jesu li vam zubi zdravi - i to bez odlaska u ordinaciju. U svom postu na forumu Quora objasnila je da mnogi ljudi pokušavaju prikriti nedostatak redovite higijene tako što operu zube netom prije posjeta zubaru, ali to čini premalo da se zamaskira već napravljena šteta.

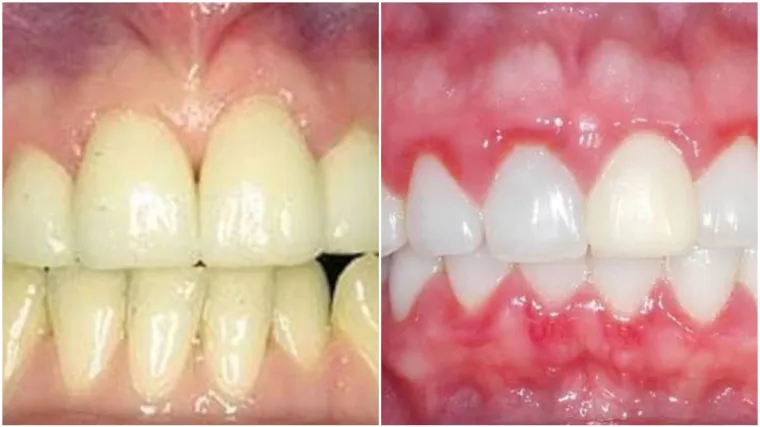
Koji su zubi zdraviji?

Stručnjaci uopće ne gledaju u vaše zube da bi procijenili u kakvu su oni stanju, već više pažnje usmjere na zubno meso. "Ako redovito perete zube tako da sprječavate formiranje plaka, vaše desni imaju blago svjetliju nijansu na liniji gdje se spajaju zubi i meso. To je dobar znak i ne upućuje na upalu", napisala je stomatologinja i priložila fotografiju nešto žućih zuba, ali zdravih desni.

"Ako, pak, ne blokirate stvaranje karijesa dulje vrijeme, četkanje će uzrokovati upalu desni, zbog čega će one biti crvene. Ta se upala zove gingivitis i ne može nestati za nekoliko sati. Sve ovisi o tome koliko je ozbiljna", objasnila je uz fotografiju bijelih i sjajnih zuba koji imaju gingivitis, sugerirajući da je daleko zdravija i bolja prva varijanta.

403 Forbidden

403 Forbidden


nginx
Još iz rubrike
Pročitaj i ovo
403 Forbidden

403 Forbidden


nginx
403 Forbidden

403 Forbidden


nginx
Regionalni portali
403 Forbidden

403 Forbidden


nginx
Još iz rubrike