Registracija
Ako imaš Voyo pretplatu, registriraj se istim e-mailom i čitaj net.hr bez oglasa! Saznaj više
Toggle password visibility
Toggle password visibility
Već imaš račun?
Obnovi lozinku
uspješna operacija /

Dječačić imao tumor teži od njega samoga

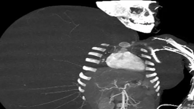
Tim od osam liječnika deset je sati uklanjao golemi tumor težak 15 kilograma s leđa dvogodišnjeg dječaka iz Meksika.

403 Forbidden

403 Forbidden


nginx
403 Forbidden

403 Forbidden


nginx

Dvogodišnji dječak Jesus Gabriel iz Meksika nosio je na svojim leđima tumor težak nevjerojatnih 15 kilograma. Mališanu je sada uklonjena izraslina te se uspješno oporavlja u bolnici. Zahvat je trajao deset sati, a dječaka je operiralo osam kirurga. Jesus sada ima samo 12 kilograma dok je s tumorom imao 27. Naime, kako je rastao dječačić, tako je bujao i benigni tumor na desnoj strani njegovih leđa, protežući se od pazuha pa sve do kuka.

403 Forbidden

403 Forbidden


nginx
Još iz rubrike
Pročitaj i ovo
403 Forbidden

403 Forbidden


nginx
403 Forbidden

403 Forbidden


nginx
Regionalni portali
403 Forbidden

403 Forbidden


nginx
Još iz rubrike