Registracija
Ako imaš Voyo pretplatu, registriraj se istim e-mailom i čitaj net.hr bez oglasa! Saznaj više
Toggle password visibility
Toggle password visibility
Već imaš račun?
Obnovi lozinku
'ONO SI ŠTO JEDEŠ' NIKAD NIJE IMALO JEZIVIJE ZNAČENJE: /

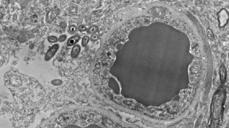
Otkrivena bakterija koja putem krvi iz crijeva dospije u mozak

Znanstvenici sa Sveučilišta u Alabami pronašli su bakteriju, koja još nije proučavana, u mozgu 34 preminulih ljudi te tvrde da bi ona mogla imati važan utjecaj na naše zdravlje,

403 Forbidden

403 Forbidden


nginx
403 Forbidden

403 Forbidden


nginx

Iako kažu da si ono što jedeš, čak ni čovjek koji je izmislio ovu izreku prije više od 150 godina nije znao koliko je u pravu, piše Daily Mail.

Znanstvenici su otkrili prve dokaze o bakteriji koja živi u ljudskom mozgu te pretpostavljaju da je tamo dospjela putujući krvotokom iz crijeva.

Slučajno je otkrivena nakon analize mozga preminulih ljudi te se smatra "šokantnim" i "revolucionarnom". Znanstvenici sa Sveučilišta u Alabami u Birminghamu su prošli tjedan svoja otkrića predstavili na godišnjem znanstvenom skupu Američkog društva za neuroznanost u San Diegu.

Mogla bi utrti put cijelom novom znanstvenom smjeru istraživanja

Studija je originalno predviđena za usporedbu razlika između mozgova mentalno zdravih osoba i shizofrenika. U daljnjim istraživanjima potvrđeno je da bi saznanja mogla utrti put cijelom novom znanstvenom smjeru istraživanja kako bakterija može utjecati na naše mozgove.

Mozak je od baketrija i virusa zaštićen membranom oko nje te se, do sada, vjerovalo da ako bilo što prođe kroz membranu može uzrokovati ozbiljne bolesti.

Ronald McGregor sa Sveučilišta u Kaliforniji u Los Angelesu, koji je bio uključen u istraživanje, opisao je otkriće kao "šokantno".

Bakterije u crijevima utječu na zdravlje ostatka našeg tijela

McGregor je u intervjuu za Science izjavio da je "to cijela nova tvornica molekula (u mozgu) sa svojim vlastitim potrebama".

Poznato je da bakterija u našim crijevima utječe na zdravlje ostatka našeg tijela, potencijalno utječe na našu težinu, rizik od oboljenja te je čak pobvezana s anksioznošću i depresijom.

Istraživanje, koje je objavljeno u lipanjskom izdanju Harvard Medical Schoola, obilježilo je crijeva "drugim mozgom" zbog načina na koji utječe na naše raspoloženje.

Njihov znanstveni rad nisu još provjerili drugi stručnjaci

Ako je istraživanje u pravu, ista bakterija utječe na naša crijeva i na naš mozak kada tamo dospije preko krvotoka, piše Daily Mail.

Znanstvenici predvođeni Rosalindom Roberts naglasili su činjenicu da njihov znanstveni rad još nisu provjerili drugi stručnjaci te su upozorili da su 34 mozga koja su proučavali mogla biti kontaminirana jer su svi mrtvi.

Doduše, način na koji je bakterija raspodijeljena u mozgu te činjenica da se nalazila u svakom, ukazuje da se ne radi o slučajnosti.

Miševi koji nemaju tu bakteriju u crijevima, nemaju je ni u mozgu

Roberts je stalno pronalazila štapićaste uzorke u svom mikroskopskim stakalcima, ali ih je isprva ignorirala zato što je tražila nešto drugo. Međutim, nakon primjećivanja da su se pojavili u svakom pojedinačnom mozgu koji je proučavala, Roberts je poslala uzorke bakteriologu koji je potvrdio da je riječ o bakterijama.

Zatim su obavljeni pokusi na miševima kako bi se provjerilo je li moguće da se bakterija nalazi u njihovom mozgu. Otkrili su da glodavci koji nemaju tragove te bakterije u crijevima, nemaju ih ni u mozgu.

Bakterije pronađene u mozgu ljudi s Alzheimerovom bolešću

Roberts i njezini suradnici nisu sigurni kako je bakterija dospjela tamo, ali pretpostavljaju da je doputovala putem krvi te zaglavila u živčanim vlaknima unutar lubanje.

Teodor Postolache, sa Sveučilišta u Marylandu, koji nije sudjelovao u istraživanju, izjavio je da "ima još mnogo toga za istražiti". "Nisam jako iznenađen da druge stvari mogu živjeti u našem mozgu, ali ako je to tako, onda je to, naravno, revolucionarno," dodao je Postolache.

Ako je istraživanje u pravu, to bi moglo objasniti prethodne studije koje su pronašle bakterije u mozgu ljudi s Alzheimerovom bolešću, piše Daily Mail.

403 Forbidden

403 Forbidden


nginx
Još iz rubrike
Pročitaj i ovo
403 Forbidden

403 Forbidden


nginx
403 Forbidden

403 Forbidden


nginx
Regionalni portali
403 Forbidden

403 Forbidden


nginx
Još iz rubrike