Registracija
Ako imaš Voyo pretplatu, registriraj se istim e-mailom i čitaj net.hr bez oglasa! Saznaj više
Toggle password visibility
Toggle password visibility
Već imaš račun?
Obnovi lozinku
uspjeli ga odstraniti /

Crv živio u mozgu Britanca i zadavao mu glavobolje!

Stručnjaci su rekli da je takav parazit prvi put otkriven u Velikoj Britaniji, a od 1953., zabilježeno je 300 takvih slučajeva u svijetu.

403 Forbidden

403 Forbidden


nginx
403 Forbidden

403 Forbidden


nginx

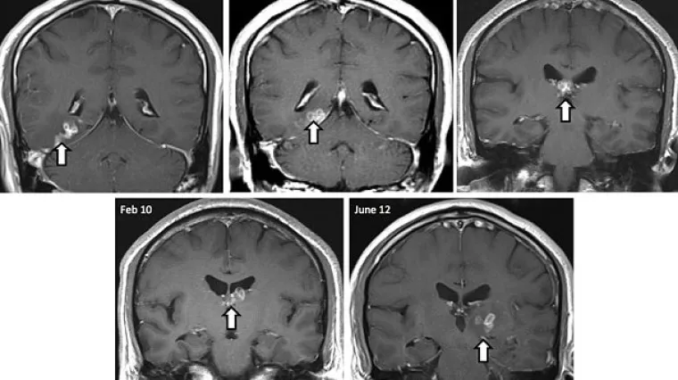
Centimetar dug crv izvučen je iz mozga Britanca koji se liječniku požalio na glavobolje, objavili su u petak znanstvenici i otkrili da je životinjica Spirometra erinaceieuropei četiri godine obitavala u mozgu 50-godišnjeg muškarca i selila se s jedne strane na drugu.

Stručnjaci su rekli da je takav parazit prvi put otkriven u Velikoj Britaniji, a od 1953., zabilježeno je 300 takvih slučajeva u svijetu.

Crv izaziva upalu tkiva te gubitak pamćenja i glavobolje ako se nastani u mozgu.

S obzirom da je rijedak, slabo je proučavan i znanstvenici ne znaju njegov životni ciklus.

"Nismo očekivali otkriti infekciju takve vrste u Ujedinjenom Kraljevstvu no s razvojem putovanja takav tip nepoznatog parazita pojavljuje se ponekad", ističe doktorica Effrossyni Gkrania-Klotsas iz bolnice Addenbrooke u Cambridgeu koja je crva izvadila iz mozga.

Genetičari instituta Wellcome Trust Sanger preuzeli su tog crva i uspjeli sekvencionirati njegov genom što će im pomoći da prouče potencijalno liječenje.

Doktorica Hayley Bennett iz ekipe Wellcome Trust smatra da su ljudi slučajno i vrlo rijetko domaćini tog crva.

"Parazit je u stanju larve tijekom čitava razdoblja infekcije" i mogao bi se hraniti masnim kiselinama, rekla je Bennett.

403 Forbidden

403 Forbidden


nginx
Još iz rubrike
Pročitaj i ovo
403 Forbidden

403 Forbidden


nginx
403 Forbidden

403 Forbidden


nginx
Regionalni portali
403 Forbidden

403 Forbidden


nginx
Još iz rubrike