Registracija
Ako imaš Voyo pretplatu, registriraj se istim e-mailom i čitaj net.hr bez oglasa! Saznaj više
Toggle password visibility
Toggle password visibility
Već imaš račun?
Obnovi lozinku
15 GODINA LIJEČNICI NISU ZNALI ŠTO MU JE, A ONDA SU MU OTVORILI GLAVU: /

'Bila je živa i kretala mu se po mozgu'

Čovjek je desetljeće i pol živio s nesnosnim patnjama

403 Forbidden

403 Forbidden


nginx
403 Forbidden

403 Forbidden


nginx

Jednom je Kinezu nedavno iz glave odstranjena trakavica koja mu je proteklih 15 godina polako izjedala mozak. Gospodin Wang Lei je još prije puno godina počeo osjećati otupljenost lijeve strane tijela, a otad mu se zdravlje samo srozavalo.

Bio je kod brojnih specijalista i jednom su ga čak počeli liječiti i od malignog tumora na mozgu, no nikako nisu mogli pronaći uzrok svih njegovih problema. Uskoro su započele učestale nesvjestice i napadi, a sve do prošle godine liječnici nisu znali što mu je.

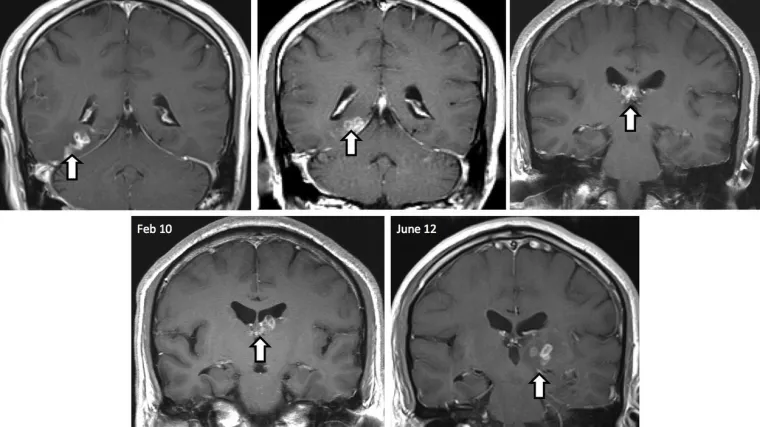
Naime, 2018. godine u njegovu su mozgu otkrili 12 centimetara dugu trakavicu koju su prvo pokušali izvaditi neoperativnim putem jer se nalazila na mjestu vrlo riskantnom za operacije.

No, trakavica je nastavila živjeti u Leijevu mozgu pa je ipak završio na operacijskom stolu. Nakon dvosatne operacije liječnicu su uklonili parazita kojeg inače nalaze u probavnom traktu pasa i mačaka, ali vrlo rijetko se nalazi kod ljudi.

"Trakavica je bila živa i kretala se po mozgu pacijenta. Morali smo ukloniti sve kako ne bi ponovno narasla", rekao je za lokalne medije dr. Gu koji je izveo operaciju te dodao kako je njegova bolnica samo ove godine imala već četiri slična slučaja.

"Ljudi bi trebali biti oprezni kad kuhaju žabe, puževe ili zmije. Treba ih jako dobro termički obraditi. Upozoravam da ne bi trebali ni piti vodu u prirodi osim ako nije prokuhana", dodao je dr. Gu, prenosi Mirror.

403 Forbidden

403 Forbidden


nginx
Još iz rubrike
Pročitaj i ovo
403 Forbidden

403 Forbidden


nginx
403 Forbidden

403 Forbidden


nginx
Regionalni portali
403 Forbidden

403 Forbidden


nginx
Još iz rubrike